Sclerosing polycystic adenosis (also abbreviated SPA) is a rare salivary gland tumor first described in 1996 by Dr. Brion Smith.[1] The major salivary glands, specifically the parotid gland (about 70% of cases) and the submandibular gland, are affected most commonly.[2][3] Patients usually come to clinical attention with a mass or swelling in their salivary glands in the 5th decade of life, with females affected much more commonly than males.[1][2] Nearly all of the cases reported so far have a benign behavior (no recurrence and no metastasis), although there is a single case that has had an associated malignant transformation (becoming an invasive cancer).[4]

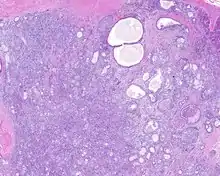
When reviewed by a pathologist, the findings are quite similar to fibrocystic changes of the breast, although they are different enough, that it is now recognized to actually represent a true neoplasm (clonal proliferation) through various studies.[5] Specifically, the lesions are usually well-circumscribed, containing lobules of haphazardly arranged ducts, myoepithelial cells, and acini that have abundant sclerosing or hyalinized fibrosis. Apocrine change is quite common in the ductal cells.[6] The ducts range from small ductules to cystically dilated spaces (more than 4 striated duct-widths across), often containing products of secretion or reactive histiocytes. A very curious and characteristic finding in all of the lesions is the presence of bright pink (eosinophilic) acinar granules (which are altered zymogen).

References
- 1 2 Smith BC, Ellis GL, Slater LJ, et al. (Feb 1996). "Sclerosing polycystic adenosis of major salivary glands. A clinicopathologic analysis of nine cases". Am J Surg Pathol. 20 (2): 161–170. PMID 8554105.
- 1 2 Gnepp DR, Wang LJ, Brandwein-Gensler M, et al. (Feb 2006). "Sclerosing polycystic adenosis of the salivary gland: a report of 16 cases". Am J Surg Pathol. 30 (2): 154–164. PMID 16434888.
- ↑ Skalova A, Michal M, Simpson RH, et al. (Jan 2002). "Sclerosing polycystic adenosis of parotid gland with dysplasia and ductal carcinoma in situ. Report of three cases with immunohistochemical and ultrastructural examination". Virchows Arch. 440 (1): 29–35. PMID 11942573.
- ↑ Canas Marques R, Felix A (May 2014). "Invasive carcinoma arising from sclerosing polycystic adenosis of the salivary gland". Virchows Arch. 464 (5): 621–625. PMID 24584973.
- ↑ Skalova A, Gnepp DR, Simpson RH, et al. (Aug 2006). "Clonal nature of sclerosing polycystic adenosis of salivary glands demonstrated by using the polymorphism of the human androgen receptor (HUMARA) locus as a marker". Am J Surg Pathol. 30 (8): 939–944. PMID 16861963.
- ↑ Petersson F (Jul 2013). "Sclerosing polycystic adenosis of salivary glands: a review with some emphasis on intraductal epithelial proliferations". Head Neck Pathol. 7 (Suppl 1): S97–S106. PMC 3712090. PMID 23821217.