| Salivary duct carcinoma | |
|---|---|
![]() | |
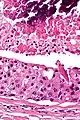
| Low magnification micrograph of a salivary duct carcinoma with characteristic comedonecrosis (left of image) adjacent to normal parotid gland (right of image). H&E stain. | |
| Specialty | ENT surgery |
Salivary duct carcinoma (SDC) is a rare type of aggressive cancer that arises from the salivary glands.[1] It is predominantly seen in men and, generally, has a poor prognosis.[2] Other high grade carcinomas can mimic SDC. About 40-60% of SDC arise in pleomorphic adenomas.[3] Most, if not all, SDCs express androgen receptor by immunohistochemistry.[4] Therapeutically relevant genetic alterations include ERBB2/Her2 amplification, PIK3CA and/or HRAS mutations.[5][6]
Signs and symptoms
The typical presentation is a rapidly growing mass with associated pain.[2] This may be seen in association with neck lymph node swelling (cervical lymphadenopathy), due to metastases, and facial nerve paralysis.
Diagnosis
SDC are diagnosed by examination of tissue, e.g. a biopsy.
Their histologic appearance is similar to ductal breast carcinoma.
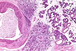
Very low mag.
Intermed. mag.
Very high mag.
See also
References
- ↑ Kinnera VS, Mandyam KR, Chowhan AK, Nandyala R, Bobbidi VP, Vutukuru VR (July 2009). "Salivary duct carcinoma of parotid gland". Journal of Oral and Maxillofacial Pathology. 13 (2): 85–88. doi:10.4103/0973-029x.57676. PMC 3162867. PMID 21887008.
- 1 2 Rajesh NG, Prayaga AK, Sundaram C (2011). "Salivary duct carcinoma: correlation of morphologic features by fine needle aspiration cytology and histopathology". Indian Journal of Pathology & Microbiology. 54 (1): 37–41. doi:10.4103/0377-4929.77321. PMID 21393874.
- ↑ Chiosea SI, Thompson LD, Weinreb I, Bauman JE, Mahaffey AM, Miller C, et al. (October 2016). "Subsets of salivary duct carcinoma defined by morphologic evidence of pleomorphic adenoma, PLAG1 or HMGA2 rearrangements, and common genetic alterations". Cancer. 122 (20): 3136–3144. doi:10.1002/cncr.30179. PMC 5048512. PMID 27379604.
- ↑ Williams L, Thompson LD, Seethala RR, Weinreb I, Assaad AM, Tuluc M, et al. (May 2015). "Salivary duct carcinoma: the predominance of apocrine morphology, prevalence of histologic variants, and androgen receptor expression". The American Journal of Surgical Pathology. 39 (5): 705–713. doi:10.1097/pas.0000000000000413. PMID 25871467. S2CID 24737257.
- ↑ Chiosea SI, Williams L, Griffith CC, Thompson LD, Weinreb I, Bauman JE, et al. (June 2015). "Molecular characterization of apocrine salivary duct carcinoma". The American Journal of Surgical Pathology. 39 (6): 744–752. doi:10.1097/pas.0000000000000410. PMID 25723113. S2CID 34106002.
- ↑ Nardi V, Sadow PM, Juric D, Zhao D, Cosper AK, Bergethon K, et al. (January 2013). "Detection of novel actionable genetic changes in salivary duct carcinoma helps direct patient treatment". Clinical Cancer Research. 19 (2): 480–490. doi:10.1158/1078-0432.ccr-12-1842. PMID 23186780.
