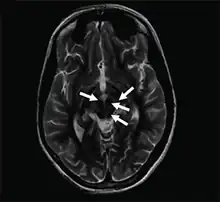
Face of the giant panda sign
Axial T2-weighted MRI of the brain at the level of the midbrain showing the characteristic ‘face of the giant panda’ sign, with normal red nuclei and substantia nigra (pars reticulata) against a background of hyperintensity in the tegmentum, as well as hypointensity of the superior colliculi
Complicationschoreoathetosis
Differential diagnosisWilson's disease, Wernicke's encephalopathy, Leigh syndrome, acute disseminated encephalomyelitis, toxic leukoencephalopathy, rabies
Medicationpenicillamine, thiamine, corticosteroids

The face of the giant panda sign, panda sign of the midbrain or double-panda sign is a characteristic "panda's face" appearance in magnetic resonance imaging (MRI) images of people with Wilson's disease. Along with Kayser–Fleischer rings, the sign is helpful in diagnosis.[1]

While the sign is most common in Wilson's disease, it has been rarely reported in acute disseminated encephalomyelitis,[2] rabies encephalopathy,[3] toxic leukoencephalopathy[4] and Leigh syndrome.[5]

References

  1. Kuruvilla, A.; Joseph, S. (2000). "'Face of the giant panda' sign in Wilson's disease: Revisited". Neurology India. 48 (4): 395–6. PMID 11146611.
  2. Nagabushana, D.; Kumar, SP.; Nagaraj, K. (2020). "Giant Panda in ADEM". Neurol India. 68 (3): 720–1. doi:10.4103/0028-3886.289008. PMID 32643704. S2CID 220437811.
  3. Jassi, P.; Attri, A.; Dhawan, R.; Kakkar, C.; Saggar, K. (2016). "MR imaging in rabies encephalopathy: A rare entity". Ann Indian Acad Journal. 19 (1): 125–8. doi:10.4103/0972-2327.167712. PMC 4782530. PMID 27011645.
  4. Bimbato, EM.; Carvalho, AG.; Reis, F. (2015). "Toxic and metabolic encephalopathies: iconographic essay". Radiol Bras. 48 (2): 121–5. doi:10.1590/0100-3984.2013.1923. PMC 4433303. PMID 25987753.
  5. Sonam, K.; Bindu, P.; Gayathri, N.; Khan, N.; Govindaraju, C.; Arvinda, H.; Nagappa, M.; Sinha, S.; Thangaraj, K.; Taly, A. (2014). "The "double panda" sign in Leigh disease". J Child Neurol. 29 (7): 980–2. doi:10.1177/0883073813484968. PMID 23599247. S2CID 5969381.

Further reading


This article is issued from Wikipedia. The text is licensed under Creative Commons - Attribution - Sharealike. Additional terms may apply for the media files.