| Desmoplastic melanoma | |
|---|---|
| Other names | Neurotropic melanoma,[1] or Spindled melanoma[1] |
![]() | |
| Desmoplastic melanoma | |
| Specialty | Dermatology |
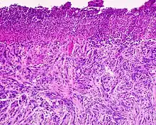
Desmoplastic melanoma is a rare cutaneous condition characterized by a deeply infiltrating type of melanoma[2]: 696 with an abundance of fibrous matrix.[3] It usually occurs in the head and neck region of older people with sun-damaged skin.[3] Diagnosis can be difficult as it has a similar appearance to sclerosing melanocytic nevi as well as some nonmelanocytic skin lesions such as scars, fibromas, or cysts.[3]
Desmoplastic melanomas tend to recur locally, with distant metastasis being less common.[3]
See also
References
- 1 2 Rapini, Ronald P.; Bolognia, Jean L.; Jorizzo, Joseph L. (2007). Dermatology: 2-Volume Set. St. Louis: Mosby. ISBN 978-1-4160-2999-1.
- ↑ James, William D.; Berger, Timothy G.; et al. (2006). Andrews' Diseases of the Skin: clinical Dermatology. Saunders Elsevier. ISBN 978-0-7216-2921-6.
- 1 2 3 4 Busam, Klaus J. (2011). "Desmoplastic Melanoma". Clinics in Laboratory Medicine. 31 (2): 321–30. doi:10.1016/j.cll.2011.03.009. PMID 21549245.
External links
This article is issued from Wikipedia. The text is licensed under Creative Commons - Attribution - Sharealike. Additional terms may apply for the media files.
