Sclerosis
Other namesSclerosus
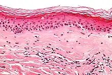
Micrograph of subepithelial sclerosus (middle third of image) in a case of lichen sclerosus. H&E stain.

Sclerosis (from Greek σκληρός sklērós, "hard") is the stiffening of a tissue or anatomical feature, usually caused by a replacement of the normal organ-specific tissue with connective tissue. The structure may be said to have undergone sclerotic changes or display sclerotic lesions, which refers to the process of sclerosis.

Common medical conditions whose pathology involves sclerosis include:

References

  1. "Welcome To The NephCure Foundation". Archived from the original on 2009-06-02.
  2. "Focal sclerosis definition - Medical Dictionary definitions of popular medical terms easily defined on MedTerms". Medterms.com. 2012-09-20. Retrieved 2013-01-12.
This article is issued from Wikipedia. The text is licensed under Creative Commons - Attribution - Sharealike. Additional terms may apply for the media files.